Tam Ağız Rehabilitasyonu: Antalya Diş Turistleri için Zaman Çizelgesi
Antalya'ya gelen diş turistleri için tam ağız rehabilitasyonu zaman çizelgesi: tanı, aşamalı tedaviler, iyileşme pencereleri ve önerilen seyahat planlaması.
Antalya'ya gelen diş turistleri için tam ağız rehabilitasyonu zaman çizelgesi: tanı, aşamalı tedaviler, iyileşme pencereleri ve önerilen seyahat planlaması.
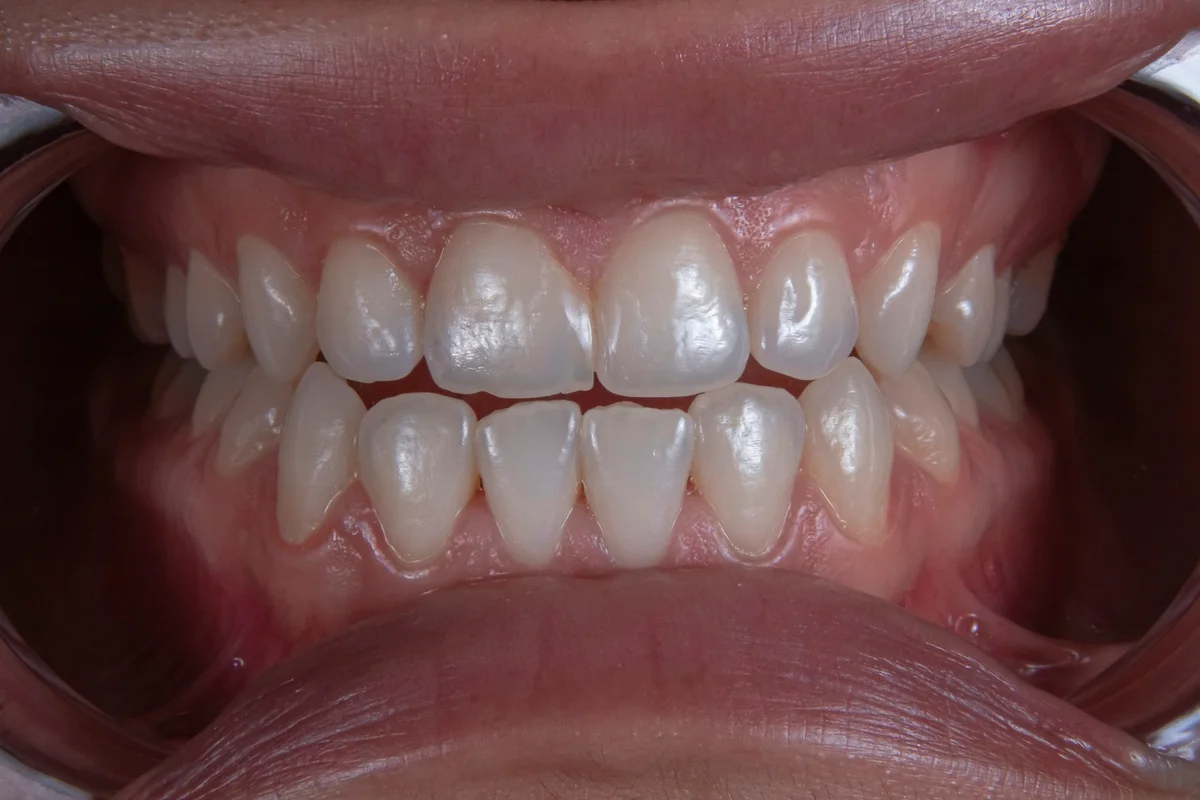
Zirkonya ve PFM anterior kronları karşılaştırın: saydamlık, kırılmaya direnç, dişeti tepkisi ve uluslararası hastalar için beklenen dayanıklılık.
Antalya'da implant hazırlığı için adım adım sinüs elevasyonu rehberi: lateral vs krestal, greft seçenekleri, iyileşme süreleri ve seyahatle ilgili hususlar.
Antalya hastaları için All-on-4 ve All-on-6’yı karşılaştırın: uygunluk, kemik gereksinimleri, cerrahi adımlar, iyileşme takvimi ve uzun dönem sonuçlar.
Düzenli profesyonel diş temizliğinin, diş eti sağlığını korumak ve çürükleri önlemek için neden gerekli olduğunu keşfedin.
Ortodontik yolculuğunuzda şeffaf plaklar ve geleneksel diş telleri arasında karar vermenize yardımcı olacak kapsamlı bir rehber.
Muayeneden restorasyona kadar diş implant sürecini ve gülüşünüzü nasıl geri kazanabileceğinizi öğrenin.
Dentsun International
Typically replies instantly
Hello! 👋 How can we help you with your dental care today?
now